1. 多柔比星 (DOX)
多柔比星 (DOX) 是一种抗生素,自 1960 年代以来已被广泛用作化疗剂。多柔比星是一种高效的蒽环类化疗药物,可有效治疗多种恶性肿瘤,但美中不足的是会在许多受试者中引起心脏毒性。
2. 纳米金刚石 (ND)
纳米金刚石 (ND) 是最有前途的化学疗法载体之一,但是,它们往往会在储存时或者当暴露于 pH 值或离子强度的轻微变化时发生聚集效应。
3. 纳米金刚石和多柔比星的化合物(ND-DOX)
作为一种有效且广泛使用的化疗剂,多柔比星在临床应用中因剂量毒性而影响使用范围,包括累积的心脏毒性和骨髓抑制。 低剂量或缓慢释放多柔比星可以预防此类副反应,从而实现长期化疗。 由于缺乏特异性和靶向递送,纳米药物递送系统可用作克服毒性。 纳米金刚石具有高的细胞吸收率和低的细胞毒性,此外,多柔比星可以在碱性条件下通过物理吸附可逆地负载到纳米金刚石上。 因此,纳米金刚石是设计高效药物递送纳米载体和治疗系统的有前途的策略。
发生耐药和药物外排是癌症治疗的两个重要限制因素。纳米金刚石递送系统可以避免运输蛋白的消耗,并保留足够量的药物暴露于疾病部位。
纳米金刚石和多柔比星的化合物(NDX)可通过降低早期死亡率和抑制肿瘤生长来提高治疗效果,而单独给药则没有明显的疗效,此外,没有明显的骨髓抑制。 与小鼠肝肿瘤和乳腺癌模型的常规多柔比星疗法相比,NDX 改善细胞凋亡和肿瘤生长抑制,同时降低毒性。 NDX 递送系统可抑制乳腺癌、转移性激素难治性前列腺癌的肺转移,并有助于减少获得化疗疗效所需的多柔比星剂量。 纳米金刚石给药体外和体内模型的综合评价表明,ND-药物可以延长药物释放,加速肿瘤细胞凋亡,减少骨髓抑制等全身副作用。

Characterization of ND, DOX and NDX complex
4. 使用Naïve beagle dog 评估纳米金刚石-多柔比星复合物的安全性
在这项研究中,研究人员使用Naïve Beagle Dog来评估纳米金刚石药物递送平台递送 DOX 的安全性。 第 1-3 组的雄性幼龄Naïve Beagle Dog分别静脉注射 DOX、ND 和 NDX。 第 4 组雌性幼龄Naïve Beagle Dog通过静脉注射 NDX。 第 5 组雄性幼龄Naïve Beagle Dog通过肝门静脉注射NDX。 所有治疗组均以 3.648 mg/kg 的剂量水平给药。 给药后,动物随后进入观察阶段,以评估其健康状况的可见变化。 同时,在给药前后采集血液和尿液进行综合分析。 结果表明单独使用多柔比星会引起严重的损伤,而 NDX 可显着减轻多柔比星的毒性。
Naïve beagle dog 实验操作
此项动物实验是与上海beats365
临床前研究平台组联合进行的。 13 只 Naïve Beagle Dog分为 5 组,单次静脉注射(IV)给予 1 mg/mL 多柔比星(第 1 组)、1 mg/mL 纳米金刚石(第 2 组)、 NDX 混悬液(第 3-5 组)。无菌水 第 1-4 组静脉注射,第5组肝门静脉注射。
第 5 组的动物接受了 HPV 插管手术,并在进行研究之前恢复几天。 根据个体体重给予每只试验动物的剂量为3.648mg/kg。 给药当天测量体重并记录。在接下来的五天里,动物可以自由饮水,但在研究结束时采集血样之前禁食过夜(至少 10 小时)。
组织病理学分析
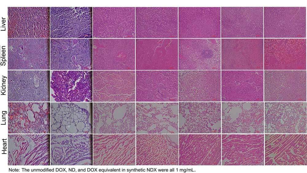
对用多柔比星、纳米金刚石和 NDX 处理的Naïve Beagle Dog进行组织病理学分析,并对肝脏、脾脏、肾脏、肺和心脏的组织进行苏木精和伊红染色。 研究人员发现使用静脉注射的多柔比星和 NDX 组之间存在显着差异。
肝脏组织病理学分析表明,用 DOX 治疗的Naïve Beagle Dog有更大的损伤。 死的Naïve Beagle Dog肝脏结构紊乱,有出血,肝细胞明显变性,有炎症细胞。用多柔比星治疗的存活的Naïve Beagle Dog在肝脏中也有变性和炎症细胞。NDXHPV组也有一些轻微的退化和结构紊乱。 ND-IV 和 NDX-IV 组的肝脏结构变化轻微或几乎正常。 脾脏方面,用多柔比星处理的Naïve Beagle Dog出现结构紊乱,用纳米金刚石处理的Naïve Beagle Dog基本上是红髓,变性明显。 此外,用 NDX-HPV 治疗的Naïve Beagle Dog表现出脾脏血窦扩张和退化。 NDX-IV组的脾脏变化轻微。
肾脏组织切片显示,用多柔比星治疗的Naïve Beagle Dog显示血管有血瘀和炎症细胞。 用纳米金刚石处理过的Naïve Beagle Dog的肾脏出现轻度至中度变性,间质纤维出现增生。 NDX-HPV组的小管不规则。 在用 NDX-IV 治疗的Naïve Beagle Dog的肾脏中仅观察到微小变化。
肺部组织切片进一步显示,用DOX治疗的Naïve Beagle Dog肺泡内有大量渗出物,肺毛细血管内有出血和淤滞。 NDXHPV组肺泡壁有炎性变性,肺泡上皮增生,而ND-IV和NDXIV组Naïve Beagle Dog肺仅有轻度病变。
用NDX-IV治疗的Naïve Beagle Dog的心脏未见明显异常,而用DOX-IV、ND-IV和NDX-HPV治疗的Naïve Beagle Dog显示心肌细胞变薄、间质水肿、心肌炎的证据。 总之,基于组织形态学的结果表明,对于用 NDX-IV 治疗的Naïve Beagle Dog,每个器官的病变都是轻微的。 其他治疗组的肝、脾、肾、肺、心脏均有较明显的一定程度的损伤。

Histopathology of dogs treated with ND, NDX and DOX. Representative
血液学分析
血液学分析表明,ND-IV-M、NDX-IV-M、NDX-IV-F 和 NDX-HPV-M 不会引起白细胞、血小板计数、中性粒细胞和淋巴细胞的显着变化。 同时,纳米金刚石或 NDX 不会引起亚急性炎症。 平均红细胞血红蛋白和平均红细胞血红蛋白浓度分析表明,DOX、ND 和 NDX 组在正常范围内几乎没有波动。 这些结果表明,在纳米金刚石和 NDX 组中,IV 和 HPV 注射均没有明显的血细胞完全破坏迹象。

Complete hematology profiles of dogs treated with ND, NDX and DOX.
尿液分析
所有Naïve Beagle Dog的尿液样本在给药前后进行了测试。 尿液pH值是肾脏调节酸碱平衡的指标。 数据显示,尿液 pH 值和尿液比重在给药前后没有明显波动。 但NDXM组尿蛋白明显升高,提示肾炎发生。 注射纳米金刚石溶液36小时和60小时后Naïve Beagle Dog的尿液表现出相同的变化趋势。 热量释放峰面积随时间增加表明更多的 ND 被排出。 更重要的是,研究人员通过透射电子显微镜(TEM)观察了纳米金刚石的颗粒,这证实了纳米金刚石可以随尿液排出。

Urinalysis analysis
总结
虽然多柔比星 (DOX) 是治疗癌症最常见的化疗药物之一,但由于剂量相关的毒性,必须谨慎管理 DOX 的使用。据报道,与 DOX (NDX) 结合的纳米金刚石 (ND) 药物递送系统可增强小鼠癌症模型的治疗效果并减弱毒性。此外,广泛的生物相容性研究表明,非人类灵长类动物似乎对 ND 具有良好的耐受性。在NDX临床转化之前,有必要验证ND在大型哺乳动物中的安全性。大型动物的纳米药物安全性研究并不常见,这项工作代表了将早期进展连接到临床评估的关键里程碑。在此,NDs 作为药物输送平台的安全性在 Naïve Beagle Dog中进行了评估。该研究使用 DOX、ND、和 NDX 在双性别动物模型中使用静脉 (IV) 注射和肝门静脉 (HPV) 注射方法。连续 5 天监测Naïve Beagle Dog的健康表型变化。获得的血液和尿液用于临床病理学研究。结果表明,ND 给药平台显着减轻了 Naïve Beagle Dog模型的 DOX 毒性。本研究为大型动物水平的 NDX 治疗的临床前安全性评估提供指导。
本研究综合评估了使用 DOX、ND 和 NDX 处理的双性别Naïve Beagle Dog模型。 此外,验证了同性别Naïve Beagle Dog之间的 HPV 和 IV 注射。 不同给药处理的共同研究结果表明,多柔比星单独使用会对Naïve Beagle Dog的肝脏、脾脏、肺和肾脏器官造成损害。 组织形态学结果表明,NDX-IV组没有明显的器官损伤。 NDX-HPV 组通过组织形态学和血液分析表明对肝脏和脾脏有轻微但可观察到的副作用。 此外,设法在尿液中检测到 ND,这表明其代谢途径可能是通过泌尿系统。 这些研究为 NDX 治疗的临床前安全性评估提供了重要基础。 为癌症患者又提供了一种新的有前途的临床替代方案。
参考文献:
[1] Raven El Khoury , et al. Demonstration of doxorubicin's cardiotoxicity and screening using a 3D bioprinted spheroidal droplet-based system. RSC Adv. 2023 Mar 13;13(12):8338-8351. doi: 10.1039/d3ra00421j. eCollection 2023 Mar 8.
[2] Moustafa S Ali, et al. Towards more efficient inhalable chemotherapy: Fabrication of nanodiamonds-releasing microspheres. Int J Pharm. 2022 Oct 15;626:122169. doi: 10.1016/j.ijpharm.2022.122169.
[3] Liping Wang, et al. Safety evaluation of nanodiamond-doxorubicin complexes in a Naïve Beagle canine model using hematologic, histological, and urine analysis. Nano Research. 2022.15: 3356–3366.
相关推荐:

beats365药物安全性评价服务
基于国际认证的AAALAC质量标准和依从国际、国内GLP规范的药物安全性评价质量管理体系。自2008年以来,我们持续对标国际水准,高质量的完成GLP的安全性评价服务,建立了长期的品牌效应。beats365可以开展涵盖多毒性终点的系统评价服务,并拥有国际认可的病理学研究支持我们的安全性评价研究。

beats365药代动力学服务
beats365药代动力学实验室已经通过NMPA的GLP认证,实验研究遵循ICH、NMPA和FDA的指导原则,可以根据客户需求设计并开展体内、体外药代动力学试验,为客户提供一整套药代动力学评价和优化服务。

beats365临床病理研究服务
beats365临床病理室为隶属于病理研究部的GLP医学检验实验室;实验室主要负责检测多种动物生物化学、血液学、凝血、尿液分析、尿液沉渣镜检、淋巴细胞分型、体外溶血、骨髓涂片镜检以及动物体检等项目,为动物试验提供准确科学的检验依据。